Hội chứng Klippel-Trenaunay (viết tắt: KTS) là một rối loạn bẩm sinh hiếm gặp liên quan đến quá trình phát triển của mạch máu, mô mềm (như da và cơ), xương và đôi khi là cả hệ bạch huyết. Các dấu hiệu chính của bệnh bao gồm bớt trên da (bớt rượu vang) có màu thay đổi từ hồng đến đỏ tím, các tĩnh mạch và bạch mạch dị dạng, và sự phát triển quá mức của mô mềm hay xương. Các bất thường này thường xuất hiện ở chi dưới một bên, nhưng cũng có thể ở cả hai bên, ở tay và những vùng khác trên cơ thể.
Là một bệnh lý bẩm sinh, hiện tại y học không có biện pháp điều trị triệt để KTS. Mục tiêu điều trị đối với các bệnh nhân mắc KTS là giúp cải thiện triệu chứng, cải thiện về thẩm mĩ và phòng ngừa các biến chứng.
Triệu chứng
Bệnh nhân mắc KTS có thể có các biểu hiện sau, với các mức độ từ nhẹ đến nặng:
Bớt rượu vang. Những vết bớt này có màu hồng đến đỏ tím, do sự phát triển quá mức của các mao mạch ở lớp trên cùng của da gây ra. Vết bớt có thể xuất hiện ở bất kì vùng da nào trên cơ thể nhưng thường gặp nhất là ở chân. Nó có thể trở nên sẫm màu hoặc nhạt hơn theo tuổi.

Dị dạng tĩnh mạch, với các biểu hiện như sưng nề chân, các búi tĩnh mạch nổi to, xoắn vặn ngoằn ngoèo (varicose veins) trên bề mặt da chân. Các dị dạng của những tĩnh mạch sâu ở chân, tay, trong ổ bụng và khung chậu cũng có thể xuất hiện. Mô mềm dưới da của bệnh nhân khi sờ vào giống như một miếng bọt biển (mềm và xốp) do bị lấp đầy bởi các tĩnh mạch nhỏ ở trong và dưới da. Các búi tĩnh mạch dị dạng thường tiến triển nặng hơn theo tuổi.
Phát triển quá mức xương và mô mềm. Tình trạng này thường bắt đầu khi còn nhỏ, thường giới hạn ở một chân, nhưng cũng có thể xuất hiện ở tay, và hiếm khi xuất hiện ở mặt hoặc thân mình. Sự phát triển quá mức của xương và mô mềm làm cho chi thể trở nên to và dài hơn. Một biểu hiện hiếm gặp khác là chứng dính ngón tay, ngón chân hoặc thừa ngón.

Dị dạng hệ thống bạch huyết. Hệ thống bạch huyết là một phần của hệ miễn dịch, giúp cơ thể chống lại nhiễm trùng và bệnh tật, chúng cũng giúp luân chuyển dịch trong cơ thể. Trong KTS, chúng có thể bị biến đổi bất thường, không làm việc đúng cách dẫn tới sự rò rỉ dịch vào mô gây phù nề.
Các tình trạng khác bao gồm đục thủy tinh thể, tăng nhãn áp, trật khớp háng bẩm sinh, hoặc các vấn đề về đông máu.
Khi nào bạn cần đến bác sĩ?
Hội chứng Klippel-Trenaunay thường được chẩn đoán ngay sau khi sinh, tuy nhiên một số trường hợp không điển hình có thể bị phát hiện muộn ở tuổi thiếu niên hoặc khi trưởng thành.

Việc chẩn đoán chính xác là cần thiết để có kế hoạch chăm sóc thích hợp, điều trị triệu chứng và ngăn ngừa các biến chứng. Vì vậy, nếu có các triệu chứng nói trên, hãy liên hệ với bác sĩ chuyên khoa mạch máu để được tư vấn và làm các thăm khám chẩn đoán bệnh.
Nguyên nhân của Hội chứng Klippel-Trenaunay
KTS là một rối loạn di truyền. Nó liên quan đến những thay đổi di truyền (đột biến), phổ biến nhất là ở một gen có tên gọi PIK3CA. Gen này chịu trách nhiệm cho sự tăng trưởng của tế bào và sự phát triển của các mô trong cơ thể. Một sự thay đổi trong gen này dẫn đến sự phát triển quá mức của các mô.
KTS thường không được di truyền từ bố/mẹ sang con. Đột biến gen xảy ra ngẫu nhiên trong quá trình phân chia tế bào ở giai đoạn đầu phát triển của bào thai trước khi sinh. Điều đó có nghĩa người mắc KTS vẫn có thể sinh con hoàn toàn bình thường.
Biến chứng
Biến chứng của KTS thường là kết quả của sự phát triển bất thường hệ mạch máu , mô mềm, xương và hệ bạch huyết. Chúng bao gồm:
Biến chứng của bớt rượu vang. Một số vùng bớt rượu vang có thể dày lên theo thời gian và chuyển dạng thành các nốt phồng rộp, chúng dễ bị nhiễm khuẩn hoặc chảy máu. Loét da và các vết thương lâu liền cũng có thể xuất hiện.
Dị dạng tĩnh mạch. Các búi giãn tĩnh mạch có thể là nguyên nhân gây đau và loét da do tuần hoàn ứ trệ. Dị dạng các tĩnh mạch ở sâu hơn có thể làm tăng nguy cơ hình thành cục máu đông (huyết khối tĩnh mạch sâu) và n guy hiểm hơn nữa là đột tử do cục máu đông bong ra và trôi về phổi gây thuyên tắc động mạch phổi (pulmonary embolism). Dị dạng tĩnh mạch trong khung chậu và các tạng trong ổ bụng có thể dẫn đến chảy máu trong. Các tĩnh mạch nông bị dị dạng có thể ít gây biến chứng nghiêm trọng hơn nhưng lại gây đau và viêm nhiều hơn khi hình thành cục máu đông bên trong (bệnh viêm tắc huyết khối tĩnh mạch nông).

Phát triển quá mức của xương và mô mềm có thể gây đau, nặng chân, làm chi thể lớn quá mức, ảnh hưởng đến vận động và thẩm mĩ. Nếu tình trạng xảy ra ở một chân có thể khiến hai chân có độ dài không bằng nhau, khiến người bệnh đi lại khó khăn và ảnh hưởng xấu đến khớp háng hay cột sống.
Dị dạng hệ thống bạch huyết gây ra ứ đóng dịch và phù nề mô mềm ở tay hoặc chân (lymphedema), nứt da và loét da, rò rỉ dịch bạch huyết và nhiễm khuẩn dưới da (viêm mô bào).
Đau mạn tính. Đây là vấn đề thường gặp, và là kết quả tổng hợp từ các biến chứng nhưng nhiễm trùng, phù nề, giãn tĩnh mạch hoặc bất thường xương.
Ảnh hưởng về tâm lý. Mặc dù KTS biểu hiện từ khi sinh, những biến đổi rõ rệt nhất thường được nhận biết từ tuổi dậy thì. Một mặt, những biến dạng ở chi sẽ gây cản trở sinh hoạt và lao động, mặt khác, bệnh nhân sẽ vấp phải những cản trở về tâm lý do vấn đề thẩm mỹ. Nhiều bệnh nhân KTS đã được ghi nhận xuất hiện những triệu chứng của trầm cảm hoặc rối loạn lo âu.
Chẩn đoán hội chứng Klippel-Trenaunay
– Bớt rượu vang trên da.
– Dị dạng tĩnh mạch cùng bên.
– Phì đại xương và mô mềm.
Chẩn đoán hội chứng Klippel-Trenaunay cần phải được thực hiện từ một bác sĩ chuyên khoa mạch máu. Các thăm khám cơ bản ban đầu bao gồm:
- Khai thác tiền sử gia đình và tiền sử bệnh lý.
- Thăm khám để phát hiện phù nề, búi giãn tĩnh mạch và bớt rượu vang.
- Đánh giá trực quan sự phát triển của xương và mô mềm.
Các thăm khám chuyên sâu hơn sẽ giúp bác sĩ phân loại và nhận định mức độ nghiêm trọng của các tổn thương, qua đó ra quyết định điều trị. Chúng bao gồm:
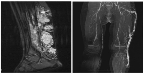
Siêu âm Duplex để đánh giá hình thái hệ mạch máu (chủ yếu là tĩnh mạch) dị dạng và dòng chảy của chúng.
Chụp cộng hưởng từ nhằm nhận định quy mô của các đám dị dạng tĩnh mạch, nhận định các tổn thương xương, mô mềm và liên quan của chúng với những cấu trúc xung quanh như cơ, mỡ …

Chụp X-quang để đo chiều dài chi.
Chụp cắt lớp vi tính mạch máu có thể dựng lại mô hình 3D hệ mạch máu ở chân bệnh nhân, đặc biệt có giá trị để phát hiện các cục máu đông trong lòng mạch và sự thông nối giữa hệ thống động mạch và tĩnh mạch (thông động – tĩnh mạch).
Chụp tĩnh mạch cản quang: là thủ thuật bơm thuốc cản quang vào lòng tĩnh mạch và ghi lại hình ảnh bằng X-quang. Phương pháp này giúp nhận định hình thái các tĩnh mạch bất thường, phát hiện nguồn dẫn lưu máu của chúng và phát hiện các cục máu đông.
Xét nghiệm máu đánh giá tình trạng đông chảy máu, phát hiện các biến chứng huyết khối tĩnh mạch, thiếu máu do mất máu, hoặc các xét nghiệm cần thiết trước khi điều trị.
Điều trị hội chứng Klippel-Trenaunay
Là một bệnh lý bẩm sinh, y học hiện nay chưa có phương pháp điều trị căn nguyên của hội chứng Hội chứng Klippel-Trenaunay. Tuy nhiên chúng ta có thể điều trị được một số triệu chứng và phòng ngừa các biến chứng gặp phải.
Do ảnh hưởng đến nhiều bộ phận và mô trong cơ thể, đội ngũ bác sĩ điều trị KTS có thể là tập hợp của nhiều chuyên khoa khác nhau, từ bác sĩ tim mạch, phẫu thuật mạch máu, da liễu, điện quang can thiệp cho đến chỉnh hình, phục hồi chức năng …
Các phương pháp điều trị phổ biến cho bệnh nhân KTS bao gồm:
Liệu pháp nén ép. Băng quấn áp lực hoặc tất y khoa có thể được sử dụng để phòng ngừa hoặc làm giảm tình trạng phù nề chân, búi giãn tĩnh mạch hoặc các vết loét. Lưu ý rằng các phương tiện ép này cần được cá thể hóa để phù hợp với từng người bệnh. Một phương pháp ít được sử dụng hơn là sử dụng thiết bị khí nén không liên tục, chúng sẽ nén ép chân hoặc tay của người bệnh trong những khoảng thời gian định trước.
Chăm sóc da. Giữ vệ sinh và chăm sóc da ở chân là biện pháp nhằm giảm nguy cơ nhiễm khuẩn, giảm đau và chống chảy máu từ các tĩnh mạch nông.
Vật lý trị liệu. Mát xa, hoặc các bài tập nâng cao chân, các bài tập vận động có thể làm cải thiện tình trạng phù bạch huyết, cải thiện tuần hoàn ở chân và tay.
Chỉnh hình. Các bệnh nhân có đôi chân không bằng nhau do phì đại xương thường cần đến giày chỉnh hình hoặc miếng độn lót giày để di chuyển dễ dàng hơn.
Hãm sụn tăng trưởng đầu xương (Epiphysiodesis). Đây là một phẫu thuật chỉnh hình nhằm ngăn chặn sự dài ra quá mức của đầu xương.
Nút tắc mạch. Là thủ thuật can thiệp trong đó bác sĩ sẽ luồn một catheter nhỏ vào động hoặc tĩnh mạch cần xử lý để làm tắc chúng, ngăn chặn dòng máu đi qua những mạch bệnh lý này.
Liệu pháp laser bề mặt. Được dùng để xóa bỏ hoặc làm mờ các bớt rượu vang trên da, hoặc điều trị những vùng sẩn rộp có nguy cơ rò rỉ dịch hoặc chảy máu.
Đọc thêm: Laser điều trị giãn tĩnh mạch mạng nhện
Can thiệp nhiệt nội tĩnh mạch bằng laser hoặc sóng cao tần. Thường được sử dụng để giải quyết các tĩnh mạch bị suy giãn lớn.
Liệu pháp gây xơ. Cũng nhằm mục đích điều trị các búi giãn tĩnh mạch. Một dung dịch đặc biệt được tiêm vào các búi giãn này để chúng xơ hóa và thoái triển dần theo thời gian.
Phẫu thuật. Trong nhiều trường hợp, phẫu thuật sẽ được chỉ định để loại bỏ những búi giãn tĩnh mạch quá lớn, loại bỏ các mô dư thừa, sửa chữa tổn thương xương, hoặc thậm chí cắt cụt chi thể do biến chứng.
Dùng thuốc. Một số loại thuốc ức chế sự phát triển của các mạch máu và mạch bạch huyết dị dạng đã được sử dụng cho những bệnh nhân mắc KTS nặng. Tuy nhiên các thuốc này có nhiều tác dụng phụ nên bệnh nhân cần được theo dõi chặt chẽ. Thuốc Alpelisib đã được FDA phê duyệt để sử dụng cho các bệnh nhân có các biểu hiện KTS nghiêm trọng. Thuốc bôi tại chỗ Sirolimus có thể làm giảm sự phát triển của những tĩnh mạch nông bị dị dạng.
Điều trị tâm lý. Việc điều trị tâm lý là cần thiết nhằm làm giảm gánh nặng tâm lý cho bệnh nhân và gia đình. Ngoài ra, các can thiệp tâm lý xã hội chũng có thể được cung cấp thông qua các tổ chức cộng đồng hoặc các nhóm hỗ trợ lẫn nhau.
Ngoài ra, các biến chứng của KTS như chảy máu, nhiễm trùng, huyết khối tĩnh mạch hoặc loét da cần phải được điều trị theo những phác đồ chuyên biệt cho các tình trạng này.
Lối sống và chăm sóc tại nhà
Một số biện pháp mà người bệnh KTS có thể áp dụng tại nhà:
- Giữ cho da được sạch sẽ, tự chăm sóc da thường xuyên.
- Sử dụng giày chỉnh hình nếu có tình trạng chênh lệch độ dài chân.
- Luyện tập các bài thể dục theo hướng dẫn của bác sĩ, các bài tập thường dùng là nâng cao chân, co duỗi chân, đạp xe tại chỗ hoặc đi bộ.
- Thường xuyên kiểm tra định kỳ để phát hiện các dấu hiệu bất thường của bệnh.
Hầu hết các trường hợp mắc KTS được phát hiện từ khi mới sinh. Nếu bác sĩ nghi ngờ con bạn mắc hội chứng này, các thăm khám và xét nghiệm nên được thực hiện ngay. Việc phát hiện sớm có ý nghĩa quan trọng, giúp cha mẹ có kế hoạch chăm sóc và kiểm tra sức khỏe cho con trong giai đoạn sau này.
Tài liệu tham khảo
- Doãn Hữu Linh (2022) Nhận xét đặc điểm lâm sàng và cận lâm sàng của bệnh nhân bị hội chứng Klippel-Trenaunay tại Viện Tim mạch, Bệnh viện Bạch Mai
- John PR. Klippel-Trenaunay Syndrome. Tech Vasc Interv Radiol. 2019;22(4)
- Klippel-Trenaunay syndrome. MayoClinic.












